Siirry sisältöön
Neurocenter Finland logo.
  • Suomi
  • English
  • Etusivu
  • Tietoa meistä
  • Brain & Mind verkostot
    • Helsinki Brain & Mind
    • Jyväskylä Brain & Mind
    • Kuopio Brain & Mind
    • Oulu Brain & Mind
    • Tampere Brain & Mind
    • Turku Brain & Mind Center
  • Johtoryhmä
  • Suomen Aivoterveysstrategia
  • Hankeportfolio
  • Palvelut ja toimenpiteet
    • Yrityksille
    • Kansalaisille
  • Osaamiskeskittymät kehittämässä kansallista yksilöllisen lääketieteen ohjelmaa
    • Blogit, tapahtumat ja uutiset
  • Uutiset
  • Tapahtumat
  • Ota yhteyttä
Sosiaalisen median profiilit
  • Kansallinen Neurokeskus
  • 2020
  • 02
4.2.2020

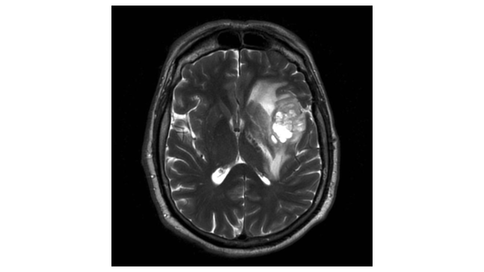
Tekoälystä voimaa vaikeiden aivokasvainten hoitoon | Tutkimus

Suomessa todetaan vuosittain noin 900 aivokasvainta sekä lapsilla että aikuisilla. Aivokasvain on vakava tauti, josta voi kuitenkin selvitä. Aivokasvaimia on tutkittu useamman vuosikymmenen ajan, mutta tutkimuksessa ja hoidossa riittää edelleen haasteita. Tulevaisuudessa tekoäly voi mahdollistaa potilaiden yksilöllisen ja tehokkaamman hoidon. Dosentti Joonas Haapasalo johtaa aivokasvaintutkimusta, jossa tekoälyllä voidaan tunnistaa erilaisia vaikutustekijöitä aivokasvainten diagnosoimiseen ja hoitoon. […]

Arkisto | Archive

    1. Tammikuu
    2. Helmikuu
    1. Helmikuu
    2. Maaliskuu
    3. Huhtikuu
    4. Toukokuu
    5. Syyskuu
    6. Lokakuu
    7. Marraskuu
    1. Tammikuu
    1. Helmikuu
    2. Maaliskuu
    3. Huhtikuu
    4. Toukokuu
    5. Elokuu
    6. Lokakuu
    7. Marraskuu
    1. Tammikuu
    2. Helmikuu
    3. Maaliskuu
    4. Huhtikuu
    5. Toukokuu
    6. Kesäkuu
    7. Syyskuu
    8. Marraskuu
    1. Tammikuu
    2. Helmikuu
    3. Maaliskuu
    4. Huhtikuu
    5. Toukokuu
    6. Kesäkuu
    7. Syyskuu
    8. Lokakuu
    9. Marraskuu
    10. Joulukuu
    1. Tammikuu
    2. Helmikuu
    3. Maaliskuu
    4. Huhtikuu
    5. Toukokuu
    6. Kesäkuu
    7. Heinäkuu
    8. Elokuu
    9. Syyskuu
    10. Lokakuu
    11. Marraskuu
    12. Joulukuu
    1. Helmikuu
    2. Maaliskuu
    3. Toukokuu
    4. Syyskuu
    5. Lokakuu
    6. Marraskuu
    7. Joulukuu
    1. Marraskuu

Avainsanat | Keywords

Kysymyksiä tai palautetta? | Questions or feedback?

Löydät yhteystietomme Ota yhteyttä -sivulta. | Please find our contact details from Contact Us page.

Itä-Suomen yliopisto

Joensuu, Kuopio

© University of Eastern Finland

Sosiaalisen median profiilit
Verkkosivupalaute | Tietosuojaseloste | Saavutettavuus